
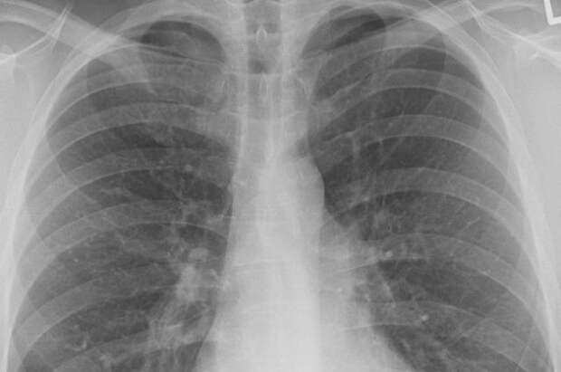
Профессор американского Университета Джорджа Мейсона, доктор биологических наук Анча Баранова рассказала, что признаками коронавируса у бессимптомных носителей могут быть сокращение объема легких и ухудшение функции почек, передает РИА Новости.
По ее словам, большинство скрытых носителей - молодежь, которая не так часто попадает во внимание врачей, а поражения легких выявляются при обследованиях по другим показаниям.
Баранова посоветовала при получении положительного результата на COVID-19 при отсутствии симптомов сделать томографию легких.
Профессор добавила, что заболевший коронавирусом может также не замечать снижение функции почек. Определить это можно, сдав анализ крови на клубочковую фильтрацию.
Ранее британские ученые выяснили, что COVID-19 может сопровождаться признаками острого панкреатита.
Свежие комментарии